Pulpa

 

Pulpa'ya Genel Bakış

Dentin ve pulpanın her ikisi de dental papilladaki nöro-mezenkimal kök hücrelerden gelişir. Odontoblastlar, sadece tek bir terminal olarak farklılaşmış hücre tipi içeren özelleşmiş bir doku oluşturur. Nöro-mezenkimal hücrelerin geri kalanı, yetişkin kök hücreleri de dahil olmak üzere çok sayıda hücre tipi içeren areolar bağ dokusunu oluşturur. Burada kan damarları, sinir lifleri ve lenfatik damarlar yere ve yapısal desteğe sahiptir.

Pulpa Histolojisi

Koronal ve radiküler pulpa. [Image credit: "Longituinal tooth 5" by Natdental is licensed under CC BY-SA 4.0]

Pulpa koronal pulpa ve radiküler pulpa olarak ikiye ayrılabilir. Koronal pulpa dişin tepesinde yer alır ve diş uçlarının altında daha küçük pulpa boynuzları içerir. Radiküler pulpa köklerdedir ve yan (aksesuar) kanallara uzanabilir. Yan kanallar pulpayı dişin dışındaki bağ dokusuna bağlar ve apikal foramenden çıkmak yerine yanal olarak ilerler. Aksesuar kanallar, HERS bir kan damarına girdiğinde ve etrafında büyümeye zorlandığında oluşur. Aksi takdirde, radiküler pulpa apikal foramende sonlanır.

Pula Katmanları

Pulpanın katmanları. Gösterge: 1) odontoblast tabakası 2) hücresiz tabaka 3) hücreden zengin tabaka 4) pulpa çekirdeği. [Image credit: “Pulp Histology” by Dododopamine at the School of Dentistry, University of Dundee is licensed under CC BY-SA 4.0]

Pulpa yekpare bir dokudur, ancak mikroskop altında birbirinden farklı görünen dört katmanı vardır. Bunlardan ilki dentine en yakın olan odontoblast tabakasıdır. Odontoblastlar başlangıçta DEJ'in geniş bölgesi boyunca tek bir hücre tabakası oluşturur. Ancak dentin eklendikçe pulpa boşluğu küçülür. Pulpa boşluğu küçüldükçe, odontoblast hücre gövdeleri bir araya toplanır ve sonuçta pulpa boşluğunun kenarında daha kalın bir hücre gövdesi tabakası oluşturur. Odontoblastların derininde hücresiz bölge olarak adlandırılan bölge bulunur. Bu bölge hücreler içerir, ancak geleneksel H&E boyası altında görünmezler. Bunun derininde, esas olarak fibroblastlar, mezenkimal kök hücreler, beyaz kan hücreleri ve diğer bağ dokusu hücrelerinden oluşan, hücre açısından zengin bir bölge bulunur. Son olarak, aynı tür hücreleri içeren, ancak daha fazla zemin maddesinin onları birbirinden ayırdığı pulpa çekirdeği bulunur. Pulpa çekirdeği, büyük kan ve lenfatik damarların çoğunun bulunduğu yerdir.

Pulpa ile İlgili Klinik Hususlar

Periapikal Apse

Altta yatan bir periapikal apsenin neden olduğu diş eti çıbanı. [Image credit "abcès parulique" by Damdent is licensed under CC BY-SA 3.0]

Dentindeki hasar pulpayı ağız bakterilerine maruz bırakırsa, pulpada enfeksiyon meydana gelebilir. Bu durum genellikle pulpitis olarak bilinen pulpa dokusu iltihabını tetikler. Pulpa dokusunun ölümü, köklerin etrafında periapikal apse olarak adlandırılan irin birikmesine yol açabilir. Hasarlı dokudan inflamatuar moleküllerin salınması, genellikle diş eti çıbanı olarak adlandırılan, üstteki diş eti dokusunun şişmesine yol açabilir. Daha az yaygın olarak, diş eti çıbanı periodontal dokuların enfeksiyonu nedeniyle de oluşabilir, bu durumda periapikal apse değil, periodontal apse söz konusudur. Nekrotik pulpayı cerrahi olarak temizlemek mümkündür. Eğer bir miktar sağlıklı pulpa kalırsa, pulpada rejenerasyon meydana gelebilir. Bunun nedeni, areolar bağ dokusunun yüksek derecede vaskülarizasyonu ve mezenkimal kök hücrelerin yüksek mitotik potansiyelidir.

Endodonti Tedavisi

Endodontik tedavi (kök kanalı). [Image credit: “Tooth #30” By DRosenbach at English Wikipedia is in the Public Domain CC0]

Bir periapikal apse muhtemelen enfekte pulpa dokusunun çıkarılmasını ve yerine benzer yoğunluk ve esneklikte biyo-uyumlu bir materyalin kullanılmasını gerektirir. Bu işlem endodontik tedavi olarak bilinir. Tercih edilen malzeme, Malezya'daki ağaçların özsuyundan elde edilen ve doğal olarak oluşan bir lateks polimer olan gutta-perkadır. Güta-perka, bir zamanlar elektronik için yalıtkan olarak yaygın bir şekilde kullanılmış, ancak endodontik tedavi haricinde yerini sentetik polimerlere bırakmıştır. Bir katkı maddesi olan baryum sülfat nedeniyle radyoopaktır. Aksi takdirde, lateks radyografilerde görünmez ve bu da güta perkanın pulpa boşluğunu tamamen doldurduğunu doğrulamayı zorlaştırır.

Endodontik tedavi sonrası canlı olmayan bir dişte renk değişikliği. [Image credit “Discolored maxillary left central incisor tooth" by Anandkumar Patil is licensed under CC BY-SA 4.0]

Canlı pulpa dokusunun çıkarılması odontoblastlar da dahil olmak üzere dişteki tüm hücreleri ortadan kaldırır. Bu diş non-vital olarak adlandırılır. Vital olmayan bir diş dentinde onarım yapamaz, bu da zamanla kırılganlığın artmasına ve lekelerin birikmesine neden olur. Leke molekülleri mine tarafından dentin tübüllerine doğru istila edebilir veya pulpa nekrozundan gelen moleküller dentin tübüllerine doğru ilerleyerek dentini istila edebilir.

Pulpa Canlılık Testi

Pulpa canlılık testi. [Image credit: “Own work” By Coronation Dental Specialty Group is licensed CC BY-SA 3.0]

Diş yüzeyindeki ağrılı uyaranlar pulpa içinde bulunan sinir uçları tarafından algılanır. Pulpa canlılık testi (veya pulpa duyarlılık testi), diş pulpasının sağlığını tahmin etmek için bundan yararlanır. Diş yüzeyine elektriksel bir uyaran uygulanır ve ardından hasta yaşadığı rahatsızlık seviyesini kendi kendine rapor eder. Sinir uçlarının kaybı diş hassasiyetini azaltır ve pulpa dokusunun fibrozis veya nekroza uğradığını gösterir. Bununla birlikte, dentin tübüllerinin çapındaki bir azalma, yüzeydeki elektrik sinyallerinin pulpa içinde tespit edilme kabiliyetini de azaltır. Tersine, mine kaybı ve dentin tübüllerinin açığa çıkması, pulpa canlılığında herhangi bir değişiklik olmaksızın hassasiyeti artırabilir.

Pulpa canlılık testi yerine kullanılan pulse oksimetre (A) ve dental adaptör (B). [Image credit: "Pulse oximeter and sensor with specially manufactured adapter" by Lorena Ferreira Lima, et al is licensed under CC BY 4.0]

Farklı hastalar ağrıyı farklı şekilde bildirdiğinden ve pulpanın sağlığı dışındaki faktörler bildirilen rahatsızlığın derecesini etkilediğinden, pulpa vitalite testinde yanlış pozitif ve yanlış negatif sonuçlar mümkündür. Nabız oksimetresi ve lazer doppler akış ölçümü gibi daha az invazif başka testler de mevcuttur. Bunlar, dişin canlılığı ile ilişkili olan her bir dişe giden vasküler beslemeyi ölçer. Nabız oksimetresi, hemoglobinin oksijen alırken geçirdiği renk değişiminden yararlanır. Lazer doppler akış ölçümü, dalgaların sabit nesnelerden değil de hareketli nesnelerden (akan kırmızı kan hücreleri gibi) sektiğinde sergilediği doppler kaymasından yararlanır - tıpkı bir motosikletin sesinin size doğru hızla ilerlerken veya sizden uzaklaşırken perdesinin değişmesine benzer.

Yaşa Bağlı Değişimler

Canlı bir diş, canlı odontoblastlardan oluşan bir tabaka içerdiğinden, dentin yaşla birlikte giderek kalınlaşır. Bu durum en çok yaşla birlikte gerileyen ince pulpa boynuzlarında fark edilir. Bununla birlikte, birçok hücrede olduğu gibi, pulpa içindeki mezenkimal kök hücrelerin mitotik yeteneği yaşla birlikte azalır. Sonuç olarak, yaşlı pulpa daha fazla skar dokusu (çapraz bağlı kolajen lifleri) içerme eğilimindedir ve rejeneratif kabiliyeti azalmış ve hassasiyeti azalmıştır.

Pulpa Taşları

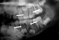
Çoklu pulpa taşlarının radyografisi. [Image credit: “OPG revealing pulp stones and taurodontism in all primary molars” by Mohita Marwaha et al, Case Reports in Dentistry is licensed under CC BY 4.0 / cropped]

Vücudun başka yerlerinde bağ dokusunun hasar görmesi yara dokusu oluşumuna yol açabilir. Ancak pulpada odontoblastların varlığı skar dokusunun mineralize olmasına neden olur. Kalsifiye skar dokusu oluşumu vücudun başka yerlerinde Distrofik kalsifikasyon olarak bilinen nadir bir durumdur, ancak pulpada yaygındır. Pulpadaki lokalize kalsifikasyon bölgelerine pulpa taşları (veya dentiküller) denir. Bunlar hem radiküler pulpada hem de koronal pulpada görülür. Pulpa taşlarının klinik açıdan en büyük önemi, endodontik tedaviyi zorlaştırabilmeleridir. Pulpa taşları sadece pulpada (serbest) bulunmaz, aynı zamanda dentin üzerinde (yapışık) ve dentin içinde (gömülü) de görülebilir.

Önceki Ders: Dentinogenez ile İlgili Klinik Hususlar

Sonraki Ders: Periodonsiyum Gelişimine Genel Bakış

Yorumlar

Bu blogdaki popüler yayınlar

Dentin Oluşumu

Periodonsiyum Klinik Uygulamalar

Gelişim ve Kalıtım Eleştirel Düşünme Soruları