Çevresel Sinir Sistemi

PSS, MSS kadar kapsamlı değildir çünkü MSS olmayan her şey olarak tanımlanır. Bazı çevresel yapılar vücudun diğer organlarına dahil edilmiştir. PSS anatomisini tanımlarken, vücudun çeşitli bölgelerinde bulunan ortak yapıları, sinirleri ve ganglionları tanımlamak gerekir. Diğer organlara dahil olan sinirsel yapıların çoğu sindirim sisteminin özellikleridir; bu yapılar enterik sinir sistemi olarak bilinir ve PSS'nin özel bir alt kümesidir.

Gangliyonlar

Bir ganglion, çevredeki bir grup nöron hücre gövdesidir. Ganglionlar, çoğunlukla, birincil işlevlerine atıfta bulunarak duyusal ganglionlar veya otonom ganglionlar olarak sınıflandırılabilir. En yaygın duyusal gangliyon türü dorsal (arka) kök gangliyonudur. Bu ganglionlar, deri gibi çevresel bölgelerdeki duyusal sonlanmalar olan ve dorsal sinir kökü yoluyla MSS'ye uzanan aksonlara sahip nöronların hücre gövdeleridir. Ganglion sinir kökünün genişlemesidir. Mikroskobik inceleme altında, nöronların hücre gövdelerinin yanı sıra arka sinir kökü olan lif demetlerini de içerdiği görülebilir (aşağıdaki şekil). Dorsal kök gangliyonunun hücreleri tek kutuplu hücrelerdir ve şekillerine göre sınıflandırılırlar. Ayrıca, uydu hücrelerinin küçük yuvarlak çekirdekleri nöron hücre gövdelerini çevrelerken -sanki yörüngede dönüyormuş gibi- görülebilir.


Dorsal Kök Gangliyonu Şekil itibariyle tek kutuplu nöronlar olan duyusal nöronların hücre gövdeleri bu fotomikrografta görülmektedir. Ayrıca fibröz bölge, dorsal sinir kökünün bir parçası olmak üzere gangliondan geçen bu nöronların aksonlarından oluşmaktadır (doku kaynağı: köpek). LM × 40. [(Micrograph provided by the Regents of University of Michigan Medical School © 2012)]

Omurilik ve Kök Gangliyonu Slayt hem lomber omuriliğin bir kesitini hem de dorsal kök gangliyonunun bir kesitini içerir (doku kaynağı: köpek). LM × 1600. [(Micrograph provided by the Regents of University of Michigan Medical School © 2012)]

Bir başka duyusal ganglion türü de kraniyal sinir ganglionudur. Bu, dorsal kök ganglionuna benzer, ancak bir spinal sinir yerine bir kraniyal sinir ile ilişkilidir. Kraniyal sinirlerin kökleri kafatasının içindeyken, gangliyonlar kafatasının dışındadır. Örneğin, trigeminal ganglion temporal kemiğe yüzeyseldir, oysa ilişkili sinir beyin sapının orta pon bölgesine bağlıdır. Kraniyal sinir gangliyonlarının nöronları da ilişkili uydu hücreleri ile tek kutuplu şekildedir.

Diğer ana gangliyon kategorisi, sempatik ve parasempatik sinir sistemlerine ayrılan otonom sinir sistemi gangliyonlarıdır. Sempatik zincir gangliyonları, torasik ve üst lomber omuriliğin lateral boynuzundan merkezi girdi alan omurga sütunu boyunca bir dizi gangliyon oluşturur. Zincir gangliyonlarının üstünde servikal bölgede üç paravertebral gangliyon bulunur. Sempatik zincirle ilişkili olan diğer üç otonom gangliyon, zincirin dışında yer alan ancak benzer işlevlere sahip olan prevertebral gangliyonlardır. Omurga kolonunun önünde yer aldıkları için prevertebral olarak adlandırılırlar. Bu otonomik gangliyonların nöronları çok kutuplu şekildedir ve dendritleri omurilik nöronlarından sinapsların yapıldığı hücre gövdesinin etrafına yayılır. Zincir, paravertebral ve prevertebral gangliyonların nöronları daha sonra homeostatik mekanizmaların sempatik yönünü düzenlemek için baş ve boyun, torasik, abdominal ve pelvik boşluklardaki organlara projeksiyon yapar.

Otonomik gangliyonların bir diğer grubu, kraniyal sinirlerden veya sakral spinal sinirlerden girdi alan ve homeostatik mekanizmaların parasempatik yönünü düzenlemekten sorumlu olan terminal gangliyonlardır. Sempatik ve parasempatik olmak üzere bu iki gangliyon grubu, bir organın genel işlevini düzenlemek için genellikle aynı organlara -bir girdi zincir gangliyonlarından ve bir girdi terminal gangliyondan- projeksiyon yapar. Örneğin, kalp bunun gibi iki girdi alır; biri kalp atış hızını artırır, diğeri azaltır. Kraniyal sinirlerden girdi alan terminal gangliyonlar baş ve boynun yanı sıra torasik ve üst karın boşluklarında bulunurken, sakral girdi alan terminal gangliyonlar alt karın ve pelvik boşluklarda bulunur.

Baş ve boynun altındaki terminal gangliyonlar genellikle hedef organın duvarına pleksus olarak dahil edilir. Genel anlamda pleksus, bir lif veya damar ağıdır. Bu, sinir dokusu (bu örnekte olduğu gibi) veya kan damarları içeren yapılar (koroid pleksus gibi) için geçerli olabilir. Örneğin enterik pleksus, ince ve kalın bağırsakların duvarındaki geniş akson ve nöron ağıdır. Enterik pleksus aslında gastrik pleksuslar ve özofageal pleksus ile birlikte enterik sinir sisteminin bir parçasıdır. Enterik sinir sistemi, otonom sinir sisteminin merkezi nöronlarından kaynaklanan girdiler alsa da, çalışması için MSS girdisine ihtiyaç duymaz. Aslında, sindirim sistemini düzenlemek için bağımsız olarak çalışır.

Sinirler

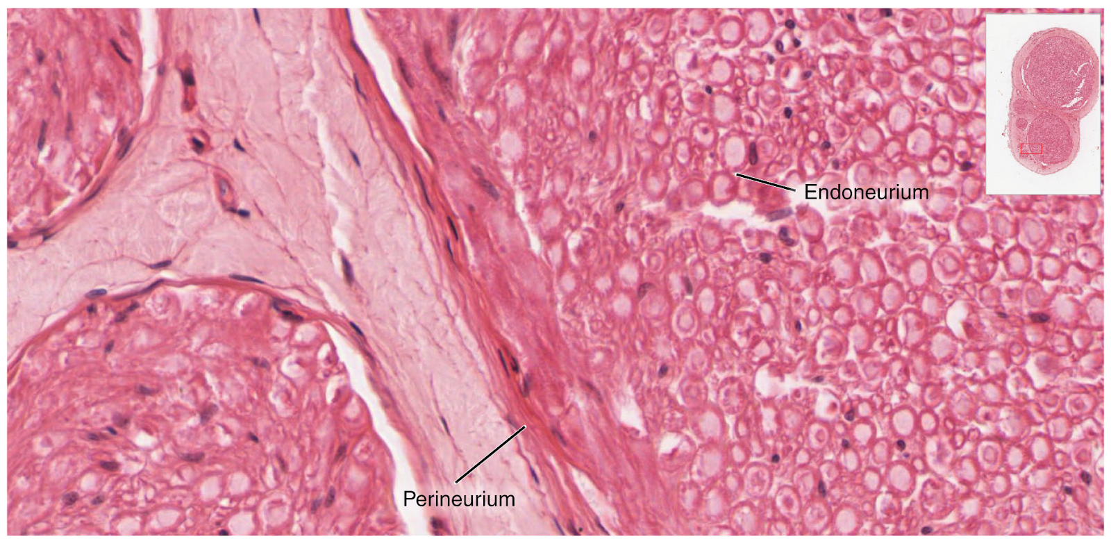
PSS'deki akson demetleri sinir olarak adlandırılır. Periferdeki bu yapılar, kanal adı verilen merkezi muadillerinden farklıdır. Sinirler, sinir dokusundan daha fazlasından oluşur. Yapılarında bağ dokularının yanı sıra dokuları besleyen kan damarları da bulunur. Bir sinirin dış yüzeyi, epinöryum adı verilen fibröz bağ dokusundan oluşan bir çevre tabakasıdır. Sinir içinde aksonlar ayrıca fasiküller halinde demetlenir ve bunların her biri perinöryum adı verilen kendi fibröz bağ dokusu tabakası ile çevrilidir. Son olarak, bireysel aksonlar endonöryum adı verilen gevşek bağ dokusu ile çevrilidir (Şaşağıdaki şekil). Bu üç katman kaslar için bağ dokusu kılıflarına benzer. Sinirler, beyne bağlı kraniyal sinirler ya da omuriliğe bağlı spinal sinirler olarak bağlı oldukları MSS bölgesi ile ilişkilidir.


Sinir Yapısı Bir sinirin yapısı, dışta, her bir fasikülün etrafında ve tek tek sinir liflerini çevreleyen bağ dokusu katmanları tarafından düzenlenir (doku kaynağı: simian). LM × 40. [(Micrograph provided by the Regents of University of Michigan Medical School © 2012)]

Sinir Gövdesinin Yakın Çekimi Endonöryum, perinöryum ve epinöryumu daha ayrıntılı incelemek için bir sinir gövdesinin bu slaytını yakınlaştırın (doku kaynağı: simian). LM × 1600. [(Micrograph provided by the Regents of University of Michigan Medical School © 2012)]

Kraniyal Sinirler

Beyne bağlı sinirler, esas olarak baş ve boynun duyusal ve motor işlevlerinden sorumlu olan kraniyal sinirlerdir (bu sinirlerden biri parasempatik sinir sisteminin bir parçası olarak göğüs ve karın boşluklarındaki organları hedef alır). "Kraniyal Sinir" için 1'den 12'ye kadar Roma rakamları kullanılarak CNI'den CNXII'ye kadar adlandırılan on iki kraniyal sinir vardır. Bunlar duyu sinirleri, motor sinirler veya her ikisinin bir kombinasyonu olarak sınıflandırılabilir, yani bu sinirlerdeki aksonlar kafatasının dışındaki duyu gangliyonlarından veya beyin sapındaki motor çekirdeklerden kaynaklanır. Duyusal aksonlar bir çekirdekte sinaps yapmak üzere beyne girer. Motor aksonlar baş veya boyundaki iskelet kaslarına bağlanır. Sinirlerin üçü sadece duyusal liflerden oluşur; beşi tamamen motor; kalan dördü ise karışık sinirlerdir.

Kraniyal sinirleri öğrenmek anatomi derslerinde bir gelenektir ve öğrenciler sinir isimlerini hatırlamak için her zaman anımsatıcı araçlar kullanmışlardır. Geleneksel bir anımsatıcı, "On Old Olympus' Towering Tops/A Finn And German Viewed Some Hops" adlı kafiyeli beyittir; bu beyitte her bir kelimenin ilk harfi her bir sinirin adındaki ilk harfe karşılık gelir. Sinirlerin isimleri yıllar içinde güncel kullanımı ve daha doğru isimlendirmeyi yansıtacak şekilde değişmiştir. Bu tür bilgileri öğrenmeye yardımcı olacak bir alıştırma, kişisel önemi olan kelimeleri kullanarak bir anımsatıcı oluşturmaktır. Kraniyal sinirlerin isimleri, işlevlerinin, kaynaklarının (duyusal ganglion veya motor çekirdek) ve hedeflerinin (duyusal çekirdek veya iskelet kası) kısa bir tanımıyla birlikte aşağıdaki tabloda listelenmiştir. Burada her bir sinirin kısa bir açıklamasıyla birlikte listelenmiştir (aşağıdaki şekil).

Olfaktör sinir ve optik sinir sırasıyla koku alma ve görme duyularından sorumludur. Okülomotor sinir, dört ekstraoküler kası kontrol ederek göz hareketlerinden sorumludur. Ayrıca gözler yukarı bakarken üst göz kapağının kaldırılmasından ve pupiller daralmadan da sorumludur. Troklear sinir ve abdusens sinirin her ikisi de göz hareketinden sorumludur, ancak bunu farklı ekstraoküler kasları kontrol ederek yaparlar. Trigeminal sinir, yüzdeki kutanöz hislerden ve çiğneme kaslarının kontrolünden sorumludur. Yüz siniri, yüz ifadelerinde yer alan kasların yanı sıra tat alma duyusunun bir kısmından ve tükürük üretiminden sorumludur. Vestibülokoklear sinir işitme ve denge duyularından sorumludur. Glossofaringeal sinir, ağız boşluğu ve üst boğazdaki kasların kontrolünün yanı sıra tat alma duyusu ve tükürük üretiminin bir kısmından sorumludur. Vagus siniri, göğüs ve üst karın boşluğu organlarının homeostatik kontrolüne katkıda bulunmaktan sorumludur. Spinal aksesuar sinir, servikal spinal sinirlerle birlikte boyun kaslarının kontrolünden sorumludur. Hipoglossal sinir, alt boğaz ve dil kaslarının kontrolünden sorumludur.


Kraniyal Sinirler Beynin alttan görünüşüne göre kraniyal sinirlerin köklerinin anatomik düzeni.

Kraniyal sinirlerden üçü otonom lifler de içerir ve dördüncüsü neredeyse tamamen otonom sistemin bir bileşenidir. Okülomotor, fasiyal ve glossofarengeal sinirler otonom gangliyonlarla temas eden lifler içerir. Okülomotor lifler pupiller konstriksiyonu başlatırken, fasiyal ve glossofarengeal liflerin her ikisi de salivasyonu başlatır. Vagus siniri öncelikle torasik ve üst abdominal boşluklardaki otonom ganglionları hedef alır.

İNTERAKTİF BAĞLANTI
Baş ağrısı ve görme kaybıyla uyanan bir adam hakkında bilgi edinmek için bu siteyi ziyaret edin. Her zamanki doktoru, görme kaybının giderilmesi için onu bir göz doktoruna gönderdi. Göz doktoru daha büyük bir sorun olduğunu fark eder ve hastayı hemen acil servise gönderir. Orada hastaya çok sayıda test yapılır, ancak kesin bir neden bulunamaz. Bir uzman sorunun menenjit olduğunu kabul eder, ancak asıl soru buna neyin neden olduğudur. Bu nasıl tedavi edilebilir? Görme kaybı, muhtemelen gözün iç kısmında bir şişkinlik olarak ortaya çıkan optik sinirin etrafındaki şişlikten kaynaklanmaktadır. Menenjite bağlı şişlik neden optik sinire baskı yapsın?

Kraniyal sinirlerin bir anımsatıcıya ihtiyaç duyan bir diğer önemli yönü de her bir sinirin oynadığı işlevsel roldür. Sinirler üç temel gruptan birine girer. Birinci, ikinci ve sekizinci sinirler tamamen duyusaldır: koku alma (CNI), optik (CNII) ve vestibülokoklear (CNVIII) sinirler. Üç göz hareket sinirinin hepsi motor özelliktedir: okülomotor (CNIII), troklear (CNIV) ve abdusens (CNVI). Spinal aksesuar (CNXI) ve hipoglossal (CNXII) sinirler de kesinlikle motordur. Sinirlerin geri kalanı hem duyusal hem de motor lifler içerir. Bunlar trigeminal (CNV), fasiyal (CNVII), glossofarengeal (CNIX) ve vagus (CNX) sinirleridir. Her ikisini de ileten sinirler genellikle birbirleriyle ilişkilidir. Trigeminal ve fasiyal sinirlerin her ikisi de yüzle ilgilidir; biri duyularla, diğeri kas hareketleriyle ilgilidir. Yüz ve glossofaringeal sinirlerin her ikisi de tat alma duyularını iletmekten ve tükürük bezlerini kontrol etmekten sorumludur. Vagus siniri, tada verilen iç organ tepkilerinde, yani öğürme refleksinde rol oynar. Bu, bu kombinasyon sinirlerinin ne yaptığına dair kapsamlı bir liste değildir, ancak aralarında bir ilişki vardır.

#İsimİşlev (S/M/B)Merkezi bağlantı (çekirdekler)Periferik bağlantı (ganglion veya kas)
IKoku almaKoku (S)Koku alma soğanıOlfaktör epitel
IIOptikVizyon (S)Hipotalamus/talamus/orta beyinRetina (retinal ganglion
IIIOkülomotorGöz hareketleri (M)Okülomotor çekirdekEkstraoküler kaslar (diğer 4), levator palpebrae superioris, siliyer ganglion (otonom)
IVTrochlearGöz hareketleri (M)Troklear çekirdekÜst oblik kas
VTrigeminalDuyusal/motor – yüz (B)Orta beyin, pons ve medulladaki trigeminal çekirdeklerTrigeminal
VIAbdusensGöz hareketleri (M)Abdusens çekirdeğiLateral rektus kası
VIIYüzMotor – yüz, Tat (B)Yüz çekirdeği, soliter çekirdek, üst tükürük çekirdeğiYüz kasları, Genikülat gangliyon, Pterigopalatin gangliyon (otonom)
VIIIİşitsel (Vestibülokoklear)İşitme/denge (S)Koklear nükleus, Vestibüler nükleus/serebellumSpiral ganglion (işitme), Vestibüler ganglion (denge)
IXGlossopharyngealMotor – Boğaz Tadı (B)Soliter çekirdek, inferior tükürük çekirdeği, nükleus ambiguusFaringeal kaslar, Genikülat gangliyon, Otik gangliyon (otonomik)
XVagusMotor/duyusal – iç organlar (otonom) (B)MedullaTorasik ve üst abdominal organlara (kalp ve ince bağırsaklar) hizmet eden terminal ganglionlar
XIOmurga AksesuarıMotor – baş ve boyun (M)Spinal aksesuar çekirdekBoyun kasları
XIIHipoglossalMotor – alt boğaz (M)Hipoglossal çekirdekLarenks ve alt farenks kasları

Omurilik Sinirleri

Omuriliğe bağlı sinirler spinal sinirlerdir. Bu sinirlerin dizilişi kafatası sinirlerine göre çok daha düzenlidir. Tüm spinal sinirler, iki sinir köküne ayrılan birleşik duyusal ve motor aksonlardır. Duyusal aksonlar omuriliğe dorsal sinir kökü olarak girer. Hem somatik hem de otonomik motor lifler ventral sinir kökü olarak ortaya çıkar. Her bir sinir için dorsal kök gangliyonu, spinal sinirin bir genişlemesidir.

Her birinin çıktığı omurilik seviyesine göre adlandırılan 31 omurilik siniri vardır. C1 ila C8 olarak adlandırılan sekiz çift servikal sinir, T1 ila T12 olarak adlandırılan on iki torasik sinir, L1 ila L5 olarak adlandırılan beş çift lomber sinir, S1 ila S5 olarak adlandırılan beş çift sakral sinir ve bir çift koksigeal sinir vardır. Sinirler üstten alta doğru numaralandırılmıştır ve her biri omurga kolonundan kendi seviyesindeki intervertebral foramenden çıkar. İlk sinir olan C1, birinci servikal vertebra ile oksipital kemik arasından çıkar. İkinci sinir olan C2, birinci ve ikinci boyun omurları arasında ortaya çıkar. Aynı durum C3 ila C7 için de geçerlidir, ancak C8 yedinci boyun omuru ile ilk göğüs omuru arasında ortaya çıkar. Torasik ve lomber sinirler için, her biri aynı isme sahip omur ile kolondaki bir sonraki omur arasında ortaya çıkar. Sakral sinirler, o eşsiz omurun uzunluğu boyunca sakral foraminalardan çıkar.

Spinal sinirler omurgadan dışarıya doğru uzanarak çevre bölgeleri innerve eder. Periferdeki sinirler spinal sinirlerin düz devamları değildir, daha ziyade bu sinirlerdeki aksonların farklı rotalar izleyecek şekilde yeniden düzenlenmesidir. Farklı spinal sinirlerden gelen aksonlar bir araya gelerek sistemik bir sinir oluşturur. Bu, omurga sütununun uzunluğu boyunca her biri sinir pleksusu olarak tanımlanan dört yerde meydana gelirken, diğer spinal sinirler doğrudan kendi seviyelerindeki sinirlere karşılık gelir. Bu durumda pleksus kelimesi, ilişkili hücre gövdeleri olmayan sinir lifleri ağlarını tanımlamak için kullanılır.

Dört sinir pleksusundan ikisi servikal seviyede, biri lomber seviyede ve biri de sakral seviyede bulunur (aşağıdaki şekil). Servikal pleksus, C1'den C5'e kadar olan spinal sinirlerden gelen aksonlardan oluşur ve arka boyun ve baştaki sinirlerin yanı sıra göğüs boşluğunun tabanındaki diyaframa bağlanan frenik sinire dallanır. Servikal seviyeden gelen diğer pleksus brakiyal pleksustur. C4'ten T1'e kadar olan spinal sinirler bu pleksus aracılığıyla yeniden organize olarak brakiyal adından da anlaşılacağı üzere kol sinirlerini oluşturur. Bu pleksustan çıkan büyük bir sinir, koltuk altı bölgesine gitmek üzere aksiller sinirin dallandığı radyal sinirdir. Radial sinir kol boyunca devam eder ve ulnar sinir ve median sinir ile paraleldir. Lomber pleksus tüm lomber spinal sinirlerden doğar ve pelvik bölgeyi ve ön bacağı besleyen sinirlere dönüşür. Femoral sinir, bu pleksustan gelen ana sinirlerden biridir ve alt bacağın ön kısmından uzanan bir dal olarak safen sinire dönüşmektedir. Sakral pleksus, alt lomber sinirler L4 ve L5 ile sakral sinirler S1 ila S4'ten gelir. Bu pleksustan çıkan en önemli sistemik sinir, tibial sinir ve fibular sinirin bir kombinasyonu olan siyatik sinirdir. Siyatik sinir kalça eklemi boyunca uzanır ve en yaygın olarak sinirin veya ona yol açan spinal sinirlerden herhangi birinin sıkışması veya tahriş olması sonucu ortaya çıkan siyatik rahatsızlığı ile ilişkilendirilir.

Bu pleksuslar spinal sinirlerden kaynaklanır ve belirli sistemik sinirlere yol açar, ancak duyusal işlevlere hizmet eden lifler veya motor işlevlere hizmet eden lifler içerirler. Bu, bazı liflerin kutanöz veya diğer periferik duyusal yüzeylerden uzandığı ve MSS'ye aksiyon potansiyelleri gönderdiği anlamına gelir. Bunlar, dorsal sinir kökü aracılığıyla omuriliğe giren dorsal kök gangliyonlarındaki duyusal nöronların aksonlarıdır. Diğer lifler, ventral sinir kökünde ortaya çıkan ve iskelet kaslarının hedef bölgelerinde kasılmasına neden olmak için aksiyon potansiyelleri gönderen omuriliğin ön boynuzundaki motor nöronların aksonlarıdır. Örneğin, radyal sinir koldaki kutanöz duyu liflerinin yanı sıra koldaki kasları hareket ettiren motor lifleri de içerir.

Torasik bölgenin spinal sinirleri, T2'den T11'e kadar, pleksusların bir parçası değildir, daha ziyade kaburgalar arasında bulunan ve spinal siniri çevreleyen omurlarla eklemleşen interkostal sinirleri ortaya çıkarır ve doğurur.


Vücudun Sinir Pleksusları İnsan vücudunda dört ana sinir pleksusu vardır. Servikal pleksus, arka baş ve boynun yanı sıra diyaframa da sinir sağlar. Brakiyal pleksus kola sinir sağlar. Lomber pleksus ön bacağa sinir sağlar. Sakral pleksus arka bacağa sinir sağlar.
YAŞLANMA VE…
Sinir Sistemi

Anosmi koku alma duyusunun kaybıdır. Genellikle kafaya alınan künt kuvvet travması nedeniyle koku alma sinirinin kopması sonucu oluşur. Koku epitelinin duyusal nöronlarının yaklaşık bir ila dört aylık sınırlı bir ömrü vardır ve düzenli olarak yenileri üretilir. Yeni nöronlar, koku alma sinirinin mevcut lifleri boyunca büyüyerek aksonlarını MSS’ye uzatır. Bu nöronların yenilenme yeteneği yaşla birlikte kaybolur. Yaşa bağlı anosmi, kafaya alınan darbe travmasının bir sonucu değil, duyusal nöronların yavaş yavaş kaybı ve yerlerine yeni nöronların doğmamasıdır.

Koku, özellikle yemekten keyif almak için önemli bir duyudur. Dil tarafından algılanan sadece beş tat vardır ve bunlardan ikisi genellikle hoş olmayan tatlar olarak düşünülür (ekşi ve acı). Gıdanın zengin duyusal deneyimi, hem gıda ağza taşınırken ve bu nedenle burnun altından geçerken hem de çiğnendiğinde ve moleküller farinksten arka burun boşluğuna hareket etmek üzere serbest bırakıldığında, gıda ile ilişkili koku moleküllerinin sonucudur. Anosmi, yiyeceklerden alınan zevkin kaybolmasına neden olur.

Koku alma nöronlarının yenilenmesi yaşla birlikte azaldıkça, anosmi ortaya çıkabilir. Koku alma duyusu olmadan, birçok hasta yiyeceklerin tadının yavan olmasından şikayet eder. Çoğu zaman, yemekten keyif almanın tek yolu dil üzerinde hissedilebilen baharat eklemektir, bu da genellikle sofra tuzu eklemek anlamına gelir. Ancak bu çözümle ilgili sorun, sodyum alımını arttırmasıdır ki bu da su tutma ve buna bağlı olarak kan basıncında artış yoluyla kardiyovasküler sorunlara yol açabilir.
Önceki Ders: Dolaşım ve Merkezi Sinir Sistemi
Sonraki Ders: Sinir Sisteminin Anatomisi Bölüm Değerlendirmesi

Yorumlar

Bu blogdaki popüler yayınlar

Dentin Oluşumu

Periodonsiyum Klinik Uygulamalar

Gelişim ve Kalıtım Eleştirel Düşünme Soruları